Indication: TAVNEOS (avacopan) is indicated as an adjunctive treatment of adult patients with severe active anti-neutrophil cytoplasmic autoantibody...
Read moreIndication: TAVNEOS (avacopan) is indicated as an adjunctive treatment of adult patients with severe active anti-neutrophil cytoplasmic autoantibody (ANCA)-associated vasculitis (granulomatosis with polyangiitis [GPA] and microscopic polyangiitis [MPA]) in combination with standard therapy including glucocorticoids. TAVNEOS does not eliminate glucocorticoid use.
Read lessDo you wish to leave the site?
As an adjunctive therapy, TAVNEOS® can be initiated with or added to standard therapy for severe active GPA and MPA.1
The following profiles show hypothetical patients and provide some common patient characteristics you may see in patients whom you may consider treating with TAVNEOS®. They are informational only and should not replace your clinical decision-making regarding diagnoses and treatment. Healthcare providers are solely responsible for clinical decisions.

NEWLY DIAGNOSED (Clinic):
Severe Active MPA
62-year-old female

NEWLY DIAGNOSED (Hospital):
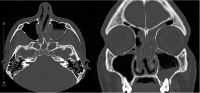
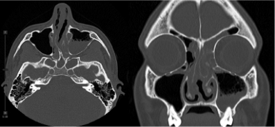
Severe Active GPA
71-year-old male

PERSISTENT DISEASE:
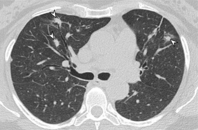
Severe Active GPA
59-year-old male

RELAPSING PATIENT:
Severe Active MPA
41-year-old female

(Hypothetical patient)

(Hypothetical patient)
Patient characteristics
62-year-old female, school administrator
Enjoys travel with husband and spending time with
grandchildren
The following profile shows a hypothetical patient and provides some common patient characteristics you may see in patients who you may consider treating with TAVNEOS®. It is informational only and should not replace your clinical decision-making regarding diagnoses and treatment. Healthcare providers are solely responsible for clinical decisions.
Current presentation
Scans
Lab values

(Hypothetical patient)
Patient characteristics
71-year-old male, retired banker
Enjoys golfing and attending grandchildren’s sporting
events
The following profile shows a hypothetical patient and provides some common patient characteristics you may see in patients who you may consider treating with TAVNEOS®. It is informational only and should not replace your clinical decision-making regarding diagnoses and treatment. Healthcare providers are solely responsible for clinical decisions.

(Hypothetical patient)
Current presentation
Scans
Lab values

(Hypothetical patient)

(Hypothetical patient)
Patient characteristics
59-year-old male, dental technician
Proud of sustainable gardening and enjoys cooking “farm
to table” for his family
Planning a backyard greenhouse
The following profile shows a hypothetical patient and provides some common patient characteristics you may see in patients who you may consider treating with TAVNEOS®. It is informational only and should not replace your clinical decision-making regarding diagnoses and treatment. Healthcare providers are solely responsible for clinical decisions.
Current presentation
Scans
Lab values

(Hypothetical patient)
Patient characteristics
41-year-old female, real estate agent
Owner/operator of commercial and residential real-estate
franchise with ambitious growth goals
The following profile shows a hypothetical patient and provides some common patient characteristics you may see in patients who you may consider treating with TAVNEOS®. It is informational only and should not replace your clinical decision-making regarding diagnoses and treatment. Healthcare providers are solely responsible for clinical decisions.

(Hypothetical patient)
Current presentation
Scans
Lab values
Do you wish to leave the site?
Serious hypersensitivity to avacopan or to any of the excipients.
Hepatotoxicity: Serious cases of hepatic injury have been observed in patients taking TAVNEOS, including life-threatening events. Obtain liver test panel before initiating TAVNEOS, every 4 weeks after start of therapy for 6 months and as clinically indicated thereafter. Monitor patients closely for hepatic adverse reactions, and consider pausing or discontinuing treatment as clinically indicated (refer to section 5.1 of the Prescribing Information). TAVNEOS is not recommended for patients with active, untreated, and/or uncontrolled chronic liver disease (e.g., chronic active hepatitis B, untreated hepatitis C, uncontrolled autoimmune hepatitis) and cirrhosis. Consider the risks and benefits before administering this drug to a patient with liver disease.
Serious Hypersensitivity Reactions: Cases of angioedema occurred in a clinical trial, including 1 serious event requiring hospitalization. Discontinue immediately if angioedema occurs and manage accordingly. TAVNEOS must not be readministered unless another cause has been established.
Hepatitis B Virus (HBV) Reactivation: Hepatitis B reactivation, including life-threatening hepatitis B, was observed in the clinical program. Screen patients for HBV. For patients with evidence of prior infection, consult with physicians with expertise in HBV and monitor during TAVNEOS therapy and for 6 months following. If patients develop HBV reactivation, immediately discontinue TAVNEOS and concomitant therapies associated with HBV reactivation, and consult with experts before resuming.
Serious Infections: Serious infections, including fatal infections, have been reported in patients receiving TAVNEOS. The most common serious infections reported in the TAVNEOS group were pneumonia and urinary tract infections. Avoid use of TAVNEOS in patients with active, serious infection, including localized infections. Consider the risks and benefits before initiating TAVNEOS in patients with chronic infection, at increased risk of infection, or who have been to places where certain infections are common.
The most common adverse reactions (≥5% of patients and higher in the TAVNEOS group vs. prednisone group) were nausea, headache, hypertension, diarrhea, vomiting, rash, fatigue, upper abdominal pain, dizziness, blood creatinine increased, and paresthesia.
Avoid co-administration of TAVNEOS with strong and moderate CYP3A4 enzyme inducers. Reduce TAVNEOS dose when co-administered with strong CYP3A4 enzyme inhibitors to 30 mg once daily. Consider dose reduction of CYP3A4 substrates when coadministering TAVNEOS. Co-administration of avacopan and 40 mg simvastatin increases the systemic exposure of simvastatin. While taking TAVNEOS, limit simvastatin dosage to 10 mg daily (or 20 mg daily for patients who have previously tolerated simvastatin 80 mg daily for at least one year without evidence of muscle toxicity). Consult the concomitant CYP3A4 substrate product information when considering administration of such products together with TAVNEOS.
TAVNEOS is available as a 10 mg capsule.
TAVNEOS (avacopan) is indicated as an adjunctive treatment of adult patients with severe active anti-neutrophil cytoplasmic autoantibody (ANCA)-associated vasculitis (granulomatosis with polyangiitis [GPA] and microscopic polyangiitis [MPA]) in combination with standard therapy including glucocorticoids. TAVNEOS does not eliminate glucocorticoid use.
Please see Full Prescribing Information and Medication Guide for TAVNEOS.
To report a suspected adverse event, call 1-833-828-6367. You may report to the FDA directly by visiting www.fda.gov/medwatch or calling 1-800-332-1088.
important safety information Contraindications Serious hypersensitivity to avacopan or to any of the excipients.
Warnings and Precautions Hepatotoxicity: Serious cases of hepatic injury have been observed in patients taking TAVNEOS, including life-threatening events. Obtain liver test panel before initiating TAVNEOS, every 4 weeks after start of therapy for 6 months and as clinically...